Sambir, Ya. Mudroho street, 10/2

...
Komputerowa diagnostyka 3D
Czytaj więcej
...
Mikroskop
Czytaj więcej
...
Znieczulenie komputerowe
Czytaj więcej
Services
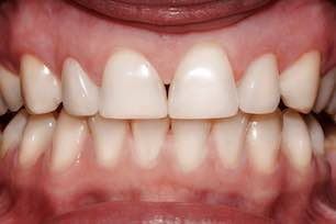
Licówki

Ta technologia pozwala na uzyskanie idealnych zębów i odnowę ich naturalnej estetyki. Aby się upewnić w tym, wystarczy spojrzeć jak wyglądają licówki na zdjęciu.

Wybielanie zębów

Piękne białe zęby są ważną składnikiem piękności. Idealny uśmiech wywołuje sympatię i kształtuje wizerunek zdrowej i odnoszącej sukcesy osoby.

Implantacja

And if not long ago, the implantation of teeth was perceived by many as an experimental technique, today in the whole world it is a standard method for replacing missing teeth.

Ortodoncja

Głównym zadaniem dzisiejszego lekarza ortodonty jest osiągnięcie jedności funkcji i estetyki, czyli stworzenie harmonijnego połączenia zdrowia i urody.

Chirurgia

Niestety lub na szczęście w warunkach współczesnej stomatologii chirurgia pozostaje aktualną metodą leczenia.

Stomatologia dziecięca

Stomatologia dziecięca jest szczególnym kierunkiem w praktyce stomatologicznej, ponieważ tutaj potrzebna jest nie tylko praktyczna wiedza dentysty, ale także specjalne podejście psychologiczne do każdego dziecka. Naszym celem jest zapewnienie, że dziecko nie tylko zgadza się na leczenie, ale także robi to z radością.

O nas

Praktyka dentystyczna "ArtDent" otworzyła drzwi dla swoich pacjentów w maju 2012 roku. Nasz zespół to profesjonaliści, dla których stomatologia stała się sprawą życia.

Bądź pewny, że każda Twoja wizyta - jest to doświadczony lekarz, wysokiej jakości usługą i doskonałą obsługą. Operatywnie nadążamy za czasem. Każdego roku pojawiają się nowe skuteczne metody i nowe podejścia, nowoczesne materiały, które aktywnie wykorzystujemy w procesie leczenia. Do samodoskonalenia stale uczestniczymy w seminariach i konferencjach, gdzie aktywnie wykorzystujemy wiedzę i doświadczenie naszych kolegów.

Czytaj więcej
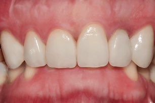
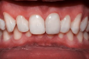
Galeria uśmiechów
Co cię martwi?

Wybierz odpowiedni ząb i zabieg lub problem. Nasz menedżer wkrótce się z Tobą skontaktuje.

Problemy z jamą ustną:
Wynik:
  • Nie wybrano problemu!
Wynik: