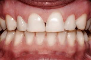
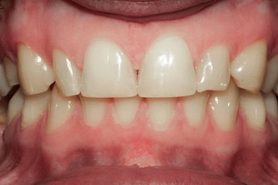
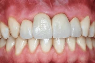
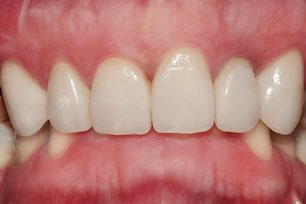
ВініриЦя технологія дозволяє зробити зуби ідеальними, повертаючи природну естетику. Щоб переконатися в цьому, достатньо просто подивитися, як виглядають вініри на фото.
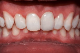
ВідбілюванняГарні та білосніжні зуби – це важлива складова привабливості. Досконала посмішка викликає симпатію та формує образ здорової та успішної людини.
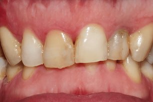
ІмплантаціяНе так давно імплантація зубів багатьма сприймалась як експериментальна методика, та сьогодні в усьому світі це стандартний метод заміщення відсутніх зубів.
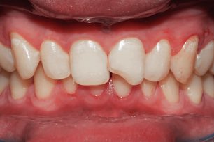
ОртодонтіяГоловними завданнями лікаря-ортодонта на сьогоднішній день є досягнення єдності між функцією і естетикою, тобто створення гармонійного союзу здоров’я і краси.
Стоматологічна практика “ ArtDent” відкрила двері для своїх пацієнтів у травні 2012 року. Наша
команда – це професіонали, для яких стоматологія стала справою життя.
Будьте певні, що кожен ваш візит – це досвідчений лікар, висока якість послуг та відмінний сервіс. Ми впевнено
крокуємо у ногу з часом. Щороку з’являються нові дієві методики та нові підходи, сучасні матеріали, які ми
активно використовуємо в процесі лікування.
Для самовдосконалення ми постійно беремо участь у семінарах та конференціях, де активно переймаємо знання та
досвід колег.